みなさまいかがお過ごしでしょうか。
秋はどこに行ってしまったんだろうというくらい冬めいてきましたね
寒さが苦手なキリンにとってはうれしくない季節になってしまいますが、
暑がり担当はキリンとは裏腹に元気になってきました。
(その分キリンのために動き回ろうと思います!)

今日はそんなキリンたちが頑張っていることをお届けしていきたいと思います。
飼育下の有蹄類は、蹄(ひづめ:私たちでいう爪)が伸びすぎてしまうことがあります。
そのため、なるべく自然に削れるように展示場に砕石を敷いたり、複数個所にフィーダーを設置したりして歩き回ってもらえるようにして自然に削れるようにしています。
今のところ幸弥もハルカスも立位の状態で蹄が伸びすぎている様子は見られません。
しかし、今後加齢に伴って運動の機会が減ったりすることによって伸びてくる可能性も考えられます。また、外見では伸びていないようでも、蹄を裏返してみると異常が見られることもあると言われています。
蹄が伸びてきてしまうと歩き方に異常が出てしまったり、骨に異常がでてしまったりということにつながります。

以前キリンの削蹄トレーニングに取り組んでいるというブログを掲載したかと思いますが、その後も継続して練習しています。
そのおかげか幸弥については両後肢の裏返しを安定して実施できるようになってきました。
足裏のチェックと削蹄を定期的に行っています。

(右後肢裏)
今のところすごく伸びすぎているわけではなさそうなので今後も削蹄を実施して健康管理に努めていきたいと思います。
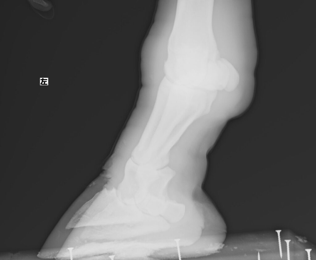
また外見だけではわからないこともあるため、肢のレントゲン撮影にも取り組み始めました。撮影の間じっとしていてもらわなければならないので練習して本番に挑んだところ


撮れました!!
獣医さんいわく今のところ異常なしとのことでホッとしました。
定期的に撮影して骨に異常がないか確認していきたいと考えています。
慎重派のハルカス♀に関しては、飼育員の手からごはんを食べてもらう練習をしています。食べてくれる時もあれば受け取ってくれないときも...
今は柵越しに受け取ってくれることが多いのでハルカスが受け入れてくれる場所で練習を重ねていきたいと考えています。


いずれハルカスもハズバンダリートレーニング下で採血や削蹄などの健康管理ができるよう少しずつ練習していきたいと思います。

ハルカスのペースに合わせて取り組んでいきます。
おまけ

ながーい首はそんなに曲がるんだね幸弥くん
クラウドファンディング『アムールトラ「ショウヘイ」に、みんなでつくるおもちゃ箱をプレゼント』に挑戦中!

来年1月30日(金曜日)23:00まで、ショウヘイくんのおもちゃ箱をプレゼントするために、みなさんからのご支援、応援をよろしくお願いします!



